O que Pode Esconder uma Hemorragia Cerebral?
DOI:
https://doi.org/10.25759/spmfr.446Palavras-chave:
Acidente Vascular Cerebral/etiologia, Hemorragia Cerebral/etiologia, Neoplasias/complicaçõesResumo
As hemorragias cerebrais não traumáticas são menos comuns comparativamente a lesões vasculares isquémicas agudas configurando-se, contudo, com maior mortalidade e número de anos de vida perdidos por incapacidade. Podem condicionar múltiplos défices neurológicos, sendo a intervenção da Medicina Física e de Reabilitação (MFR) essencial para a melhoria clínica e funcional.
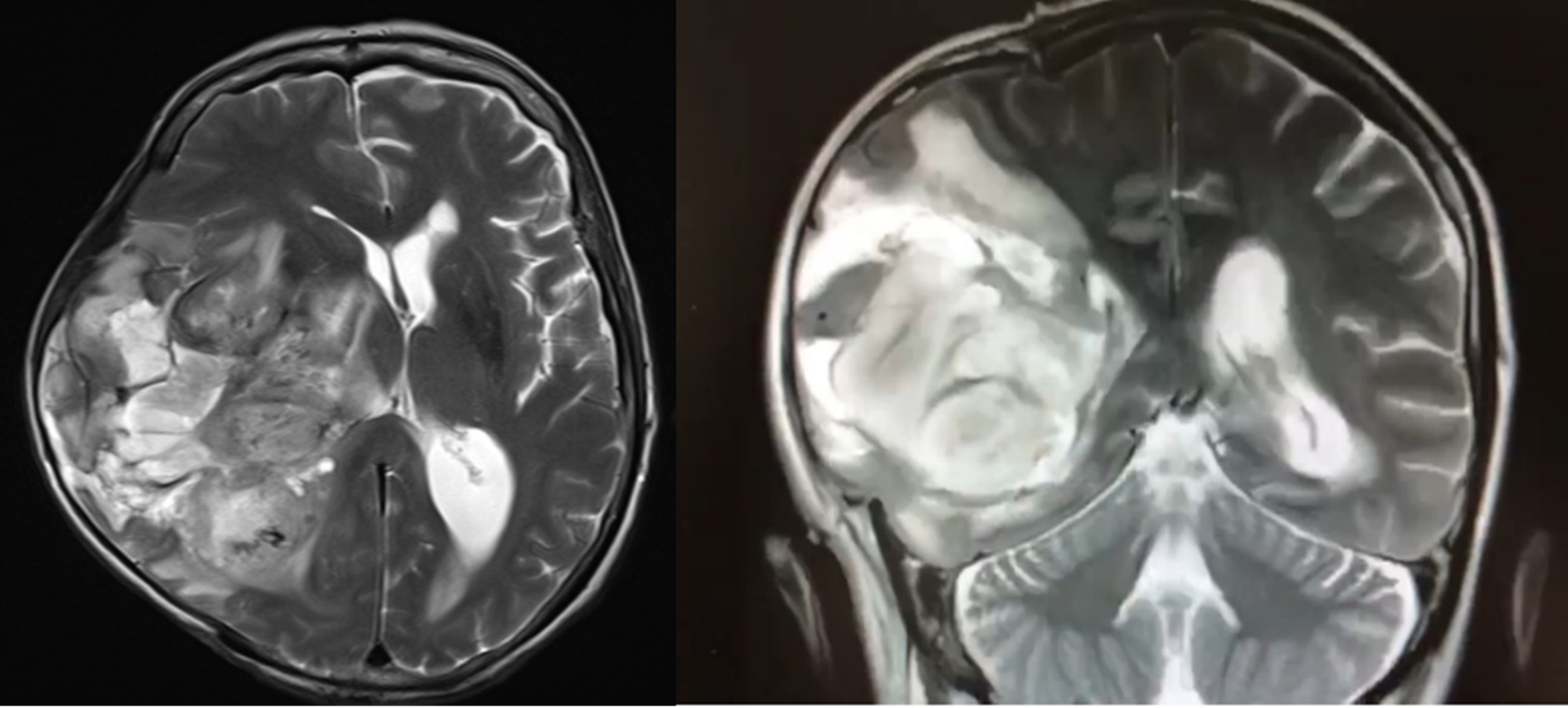
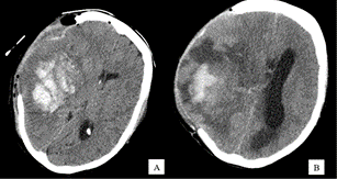
Doente do sexo feminino de 59 anos, não hipertensa, previamente autónoma nas atividades de vida diária e cognitivamente íntegra. Foi admitida no Serviço de Urgência no contexto de cefaleia intensa súbita, apresentando um quadro de hemianopsia homónima e hemiparésia esquerda. Na tomografia computorizada foi identificada uma volumosa hemorragia parenquimatosa cortico-subcortical temporo- fronto-parietal direita. Foi submetida a craniectomia descompressiva emergente. Apresentou, posteriormente, uma evolução clínica e funcional favorável, tendo sido transferida ao 66o dia para enfermaria de MFR. 17 dias depois, iniciou um quadro indolente de deterioração do estado de consciência, com progressiva sonolência e prostração, inviabilizando a participação no programa de reabilitação. Dado o agravamento do estado neurológico, foi realizado novo estudo neuro-imagiológico, o qual identificou uma volumosa lesão expansiva com padrão de realce necrótico-quístico, de provável etiologia neoplásica (primária da série glial ou secundária).
A avaliação, interpretação e orientação de casos de hemorragia intracerebral não traumática com flutuação do estado neurológico e/ou estagnação da evolução funcional na fase subaguda e crónica afigura-se como um desafio diagnóstico. É essencial aumentar a perceção de que quadros de hemorragia intracerebral sem etiologia definida podem ser devidos a neoplasias cerebrais primárias ou secundárias, os quais necessitam de uma avaliação e orientação precoce e dirigida.
Downloads
Referências
Pinho J, Costa AS, Araújo JM, Amorim JM, Ferreira C. Intracerebral hemorrhage outcome: A comprehensive update. J Neurol Sci. 2019;398:54-66.
Chen CY, Lin PT, Wang YH, et al. Etiology and risk factors of intracranial hemorrhage and ischemic stroke in young adults. Journal of the Chinese Medical Association : JCMA. 2021.
Wakai S, Yamakawa K, Manaka S, Takakura K. Spontaneous intracranial hemorrhage caused by brain tumor: its incidence and clinical significance. Neurosurgery. 1982;10(4):437-444.
Lieu AS, Hwang SL, Howng SL, Chai CY. Brain tumors with hemorrhage. Journal of the Formosan Medical Association = Taiwan yi zhi. 1999;98(5):365-367.
Reichenthal E, Rubinstein AB, Cohen ML. Infratentorial intratumoral hemorrhage. The Mount Sinai journal of medicine, New York. 1989;56(4):309-314.
Liwnicz BH, Wu SZ, Tew JM, Jr. The relationship between the capillary structure and hemorrhage in gliomas. Journal of neurosurgery. 1987;66(4):536-541.
Downloads
Publicado
Como Citar
Edição
Secção
Licença
Os manuscritos devem ser acompanhados de declaração de originalidade, Autoria e de cedência dos direitos de propriedade do artigo, assinada por todos os Autores.
Quando o artigo é aceite para publicação é obrigatória a submissão de um documento digitalizado, assinado por todos os Autores, com a partilha dos direitos de Autor entre Autores e a Revista SPMFR, conforme minuta:
Declaração Copyright
Ao Editor-chefe da Revista da Sociedade Portuguesa de Medicina Física e Reabilitação
O(s) Autor(es) certifica(m) que o manuscrito intitulado:
____________________________________________________________________ (ref.Revista da SPMFR_________) é original, que todas as afirmações apresentadas como factos são baseados na investigação do(s) Autor(es), que o manuscrito, quer em parte quer no todo, não infringe nenhum copyright e não viola nenhum direito da privacidade, que não foi publicado em parte ou no todo e que não foi submetido para publicação, no todo ou em parte, noutra revista, e que os Autores têm o direito ao copyright.
Todos os Autores declaram ainda que participaram no trabalho, se responsabilizam por ele e que não existe, da parte de qualquer dos Autores conflito de interesses nas afirmações proferidas no trabalho.
Os Autores, ao submeterem o trabalho para publicação, partilham com a Revista da SPMFR todos os direitos a interesses do copyright do artigo.
Todos os Autores devem assinar
Data:
Nome(maiúsculas)
Assinatura
Relativamente à utilização por terceiros a Revista da SPMFR rege-se pelos termos da licença Creative Commons “Atribuição – uso Não-Comercial – Proibição de Realização de Obras derivadas (by-nc-nd)”.
Após publicação na Revista SPMFR, os Autores ficam autorizados a disponibilizar os seus artigos em repositórios das suas instituições de origem, desde que mencionem sempre onde foram publicados.
OS AUTORES DEVERÃO SUBMETER UMA DECLARAÇÃO DE CONTRIBUIÇÃO / CONTRIBUTORSHIP STATEMENT INDICANDO O TIPO DE PARTICIPAÇÃO DE CADA AUTOR NO ARTIGO. Mais informações: https://authors.bmj.com/policies/bmj-policy-on-authorship/
